ภาพการรักษา ครอบฟัน และ เคลือบผิวฟัน วีเนียร์



Case Gallery : Dental Crowns, Bridge and Veneers

Dental Crowns, Bridge and Veneers
Dental Crowns, Bridge and Veneers


Case Gallery : Dental Crowns

Phuket Dental
Phuket Dental


Case Gallery : Dental Veneers and Crowns

Phuket Dental
Phuket Dental


Case Gallery : Dental Veneers and Crowns

Phuket Dental
Phuket Dental


Case Gallery : Dental Veneers and Crowns

Phuket Dental
Phuket Dental


Case Gallery : Dental Veneers and Crowns

Phuket Dental
Phuket Dental


Case Gallery : Dental Veneers

Phuket Dental
Phuket Dental
Dental veneers using IPS Empress eMax veneers is commonly used to restore irregularities in teeth, straighten mildly misalign teeth or improve teeth aesthetics in Smile Makeovers cases. Dental veneers may be completed within a short period of time transforming teeth shape, shade or size. Phuket Dental Signature has its own on-site dental laboratory for its aesthetic teeth works for dental veneer cases and dental crowns cases enabling faster treatment delivery and immediate chairside shade selection and adjustments.


Case Gallery : Dental Crowns, Bridge and Veneers

Dental Crowns, Bridge and Veneers
Dental Crowns, Bridge and Veneers


Case Gallery : Dental Crowns

Phuket Dental
Phuket Dental


Case Gallery : Dental Veneers

Phuket Dental
Phuket Dental


Case Gallery : Dental Veneers

Phuket Dental
Phuket Dental


Case Gallery : Dental Veneers

Phuket Dental
Phuket Dental


Case Gallery : Dental Crowns

Phuket Dental
Phuket Dental


Case Gallery : Dental Crowns

Phuket Dental
Phuket Dental
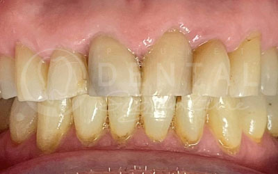
Dental crowns are used to replace missing gaps with dental bridges, restore damaged teeth or strengthen teeth. Dental crowns material ranges include porcelain fused to metal alloy crowns (or PFM crowns) and all ceramic crowns. All ceramic crowns are increasingly done as the dental crowns do not contain metals avoiding any long term metal oxidization staining to gums and for aesthetics. See our dental crown cases done by our team of prosthodontists and aesthetic dentists including our American Board certified prosthodontist.

*Disclaimer : The related graphics & cases shown in this website are for general information purposes only. Case results will vary with each individual cases.