ภาพการรักษา รากฟันเทียม รากเทียมแแบ All-on-4 ครอบฟันบนฟันปลอม
Dental Implants are used to replacing missing gaps. Illustrated below are some after photos of acutal dental implant cases done by our Phuket implantologists and All-on-4 dental specialists. The related graphics & cases shown in this website are for general information purposes only. Case results will vary with each individual cases. Read more information about having dental implant treatment in Phuket and about types of dental implant solutions.
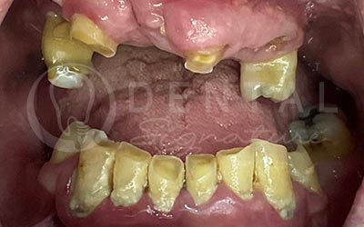
Case Gallery : All-on-4 Upper jaw and 8 Crowns Lower jaw


Case Gallery : All-on-4


Case Gallery : Dental Implant Dentures


Dental implant cases for full jaw replacement using dental implant supported dentures to provide retention to full dentures treated by Phuket implantologists. Implant dentures is removable, economical and prevents slipping and sliding of overdentures.
Case Gallery : All-on-4 & All-on-6


Case : Dental Implant Fixed Bridge










